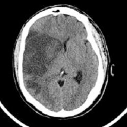
BRAIN STROKE
This is a life threatening and devastating complication of Diabetes which has tremendous social and economic impact. It may cause permanent disabilities and even death. Patients with brain stroke are often paralyzed (unable to walk normally), unable to speak, comprehend or have dementia (memory loss).
Cells of brain do not have any reserves of energy of their own; they depend on fresh supply of oxygenated arterial blood. If the blood supply is disrupted even for few minutes, brain cells die and the function controlled by them is lost. Stroke is caused by disruption of blood supply to areas of the brain, either due to a Clot ('Thromboembolic Stroke') or due to Bleeding from any of the arteries supplying blood to brain ('Hemmorhagic Stroke' or Brain Hemorrhage). Diabetes is a hypercoagulable state and blood clots form easily. Atherosclerosis of arteries further makes them narrow and arteries tend to block more easily. Stroke may be preceded by so called Transient Ischemic Attack (or TIA), which is a forewarning of an incumbent stroke due to a small thrombus blocking an artery but getting dissolved subsequently. The symptoms of TIA may be similar to those of a stroke but are milder and transient, resulting in prompt recovery (with in 24 hours)


What are the Symptoms of TIA or Stroke ?
- Slurring of Speech (Dysarthria)
- Sudden onset numbness or weakness in a part of the body
- Weakness or Paralysis of half of the body (Hemiplegia)
- Unable to Speak or Comprehend or Understand (Aphasia)
- Sudden Irrational Behaviour
- Seizures or Coma
What to do if someone has a Stroke ?
Stroke is an 'Acute Emergency' thus the patient suffering from a stroke should be immediately rushed to a superspeciality hospital where all the facilities are available. There are some treatments (rtPA or alteplase) available for acute stroke (thrombo-embolic), but have to be administered in a short period of time (preferably < 3 hours) after the onset of stroke to give maximum benefit. High Blood glucose levels during or after stroke may cause another acute complication of Diabetes-Hyperosmolar Hyperglycemic Syndrome, which may further complicate the management of stroke. In case of brain haemorrhage ('Haemmorhagic Stroke'), the treatment is to control high blood pressure and any other cause if present. Sometimes even brain surgery may be required.
Points to Remember :
- Diabetics are twice as likely as other people to have heart disease or a stroke.
- Controlling the ABC of Diabetes i.e. A1c (blood glucose), Blood pressure, and Cholesterol, can cut your risk of heart disease and stroke.
- Eating Healthy foods, being physically active, losing weight, quitting smoking, and taking medications (if needed) can all help lower your risk of heart disease and stroke.
- If you have any warning signs of a stroke, don’t delay and get medical care immediately. Early treatment of a stroke in an emergency room (ER) can reduce damage to the brain.